Объявление №2114171 Помогите не активно.

Объявление №2114171 Помогите не активно. Найти похожие объявления.

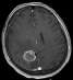
Помогите спасти жизнь ребенка
Помогите спасти жизнь ребенка
Здравствуйте прошу вас помогите моему Дамиру спасти жизнь. Врачи в 2018 году выявили у мальчика рак,сказали что пока все под контролем,но в начале 2020 года,рак начал прогрессировать и уже вторая стадия,врачи сказали что нужно оп...
Помогите ребенку видеть мир
Помогите ребенку видеть мир
Пожалуйста, прошу помочь купить ночные линзы ребенку 10 лет. Сильно теряет зрение. За два года близорукость -5 -5,5. Нужно замедлить рост глаз. Цена линз 9600грн. Прошу всех неравнодушных помочь хоть гривной. Сама такую сумму я не...
Помогите купить коляску.
Помогите купить ребенку коляску. У меня двое деток я сижу в декрете детского пособия катастрофически не хватает а муж из-за введенного карантина остался без работы.Очень прошу помогите мне. Моя почта anka.govorina@gmail.com Спасиб...
срочно нужна помощь пожалуста помогите
срочно нужна помощь пожалуста помогите
Мальчика зовут Даниил Цуканов, ему 3 годика. В настоящий момент он находится в больнице,- ему сделали операцию, удалили опухоль на почке. Так-же у него обнаружена вторая опухоль, которая находится на позвоночнике - прямо за сердце...
Помогите пожалуйста в погашении кредитов
Здравствуйте, очень прошу вас о помощи,у меня просрочка по кредитам, общая сумма составляет около 60000 тысяч гривен,помогите кому не жалко,помочь мне некому кроме вас!номер карты 5168755428912717,хоть по гривне
помогите пожалуйсто
Здравствуйте!я Александр Сергеевич Андреев прошу о пощи для своего отца Сергея Вячеславовича Андреева.с диагнозом инсульт.он лежит в коме.все необходимые документы предоставлю.прошу помочь кто сколько можит.оставляю вам свои даные...
Хочу деток. Помогите пожалуйста
Здравствуйте мое имя Елена. Мне 31 год.. Случилось так что у меня нет деток и не замужем. Мои репродуктивные функии на низком уровне и я не могу естественным путем забеременеть. Могу иметь деток только путем ЭКО. Это дорого очень ...
Помогите пожалуйста
Настя,мне 20 лет ,у меня эпилепсия,помогите пожалуйста ,денег на лекарства не хватает.Кто сколько может. Пожалуйста! Приват : 5168 7573 4429 4717 Сколько не жалко,даже мелочь может спасти мне жизнь.